Black Triangle Rejuvenation

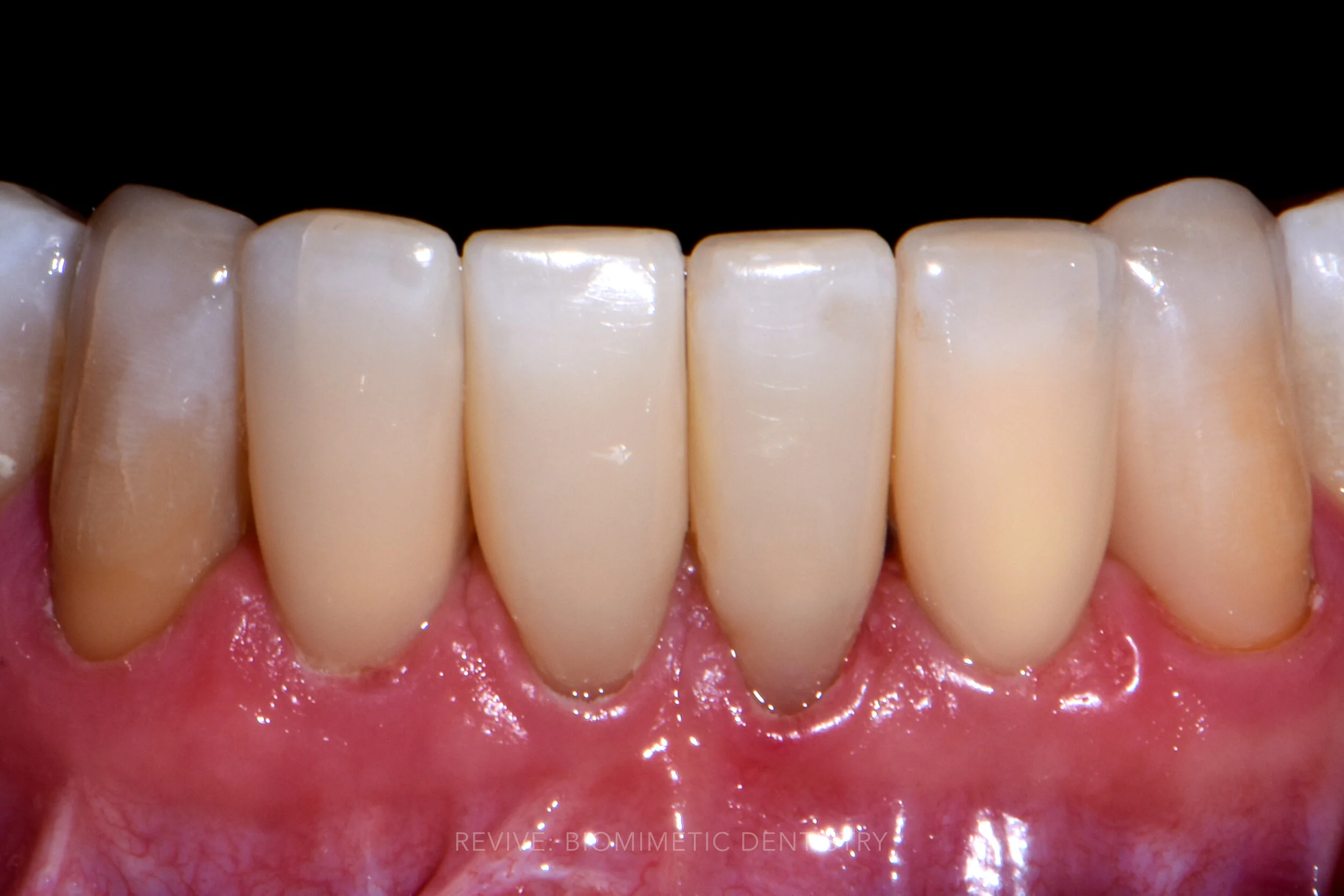
One of the most common, yet poorly addressed, dental concerns is open gingival embrasures often referred to as “black triangles”. It may be a surprise to know that this condition exists to varying degrees in most adults. For many patients, black triangles present not only an obvious aesthetic issue but also a functional issue from food impaction and tartar build up.

Conventional treatments with ceramic crowns or veneers necessitate some removal of healthy tooth structure to close the gaps. An additive solution with direct composite veneers is ultimately more conservative. With this treatment modality, composite resin is flowed around the tooth and protective volume is added. When performed well, the result is elimination of the dark space and often visual alignment of teeth. Smooth contours promoting improved hygiene and healthy tissue responses is our functional goal.

While visual elimination of the gap is relatively easy, healthy closure is the greater challenge. Patients seeking treatment have presented with gum inflammation from tartar build up, rough fillings, strangling over closure of spaces, or root wear and sensitivity from years of root scaling. Orthodontic correction of crowding can offer many benefits. However, adults should be aware that black triangles may occur or become more noticeable during alignment. In some cases, mild crowding and black triangles may be treated simultaneously without orthodontic treatment.

At Revive, we are proud of our unique experience and ability to provide artistic results with meticulous execution in order to deliver a biomimetic rejuvenation for your oral health.

Next
Next

Cracked Tooth Revival